Garden Island Dental
Garden Island Dental
Request an Appointment
Like us on Facebook
Leave a Google Review
Instagram
Call Today!
(808) 245-3582
Garden Island Dental
2978 Haleko Road Unit A Lihue, Hawaii 96766
Home
About
Our Team
Dr. Chris Godla
Technology
Practice Photos
Services
View All
General Dentistry
Dental Implants
Emergency Dentistry
Cosmetic Dentistry
Same-Day Crowns and Bridges
Bone Grafting and Sinus Lifts
Cleanings and Exams
SureSmile® Clear Aligners
Porcelain Veneers
Composite Fillings
Smile Gallery
Testimonials
Patient Info
View Patient Info
Forms
Financial
FAQs
Blog
Contact
Garden Island Dental
>
Smile Gallery
>
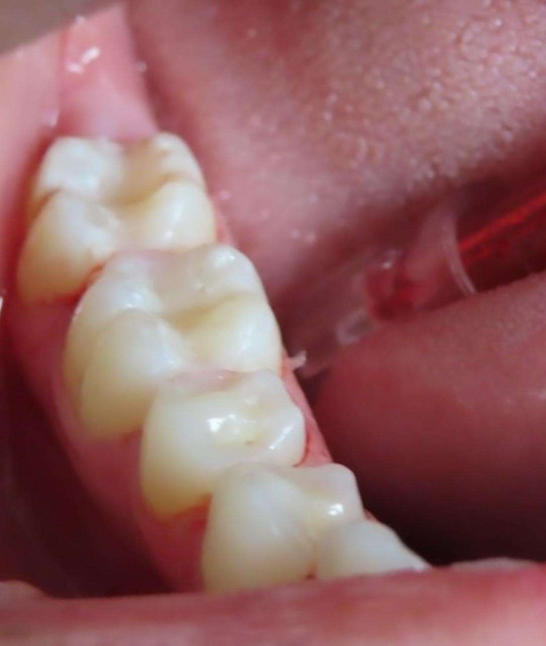
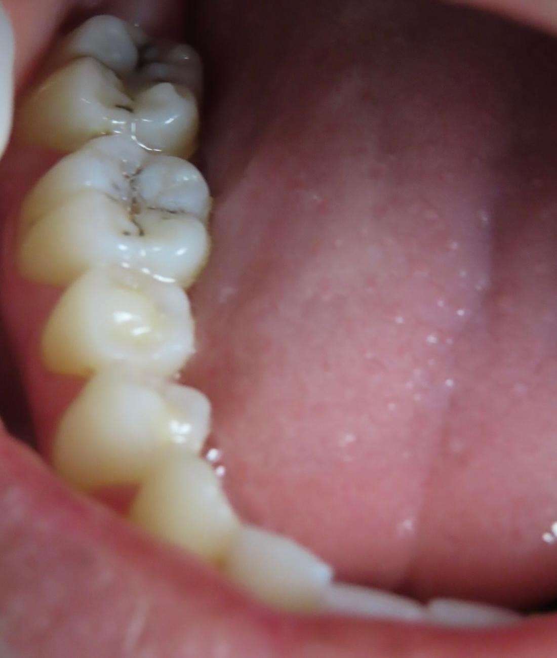
Fillings
Fillings
Return to Smile Gallery
Previous
Next
Click image to see a larger picture
Before
After
We Warmly Welcome New Patients to Our Practice
Contact Us
If you have difficulty using our website, please
email us
or call us at
(808) 245-3582
View the
ADA Accessibility Statement
Turn on ADA Views
Privacy Policy
OK!
×
×
Contact Us Today
Give Us A Call
Garden Island Dental -
(808) 245-3582
Send Us an Email
Request an Appointment
Contact Us
Ready to Schedule an Appointment?
Book Online
Have Questions? Contact Us:
Required Field
Your Name:
Phone:
Email:
Are you a new patient?:
Are you a?
New Patient
Current Patient
How would you like us to contact you?
Please choose
Email
Call
How did you hear about us?
Please choose
I'm an existing patient
Google/Bing
Mailer
Word of mouth
Social media
Other
Who Referred You?:
Appointment Preferences
Monday
Tuesday
Wednesday
Thursday
Friday
Your Message:
This site is protected by reCAPTCHA and the Google
Privacy Policy
and
Terms of Service
apply.
Sending...
×
This Patient's Experience
Loading Testimonial...
Loading Case...